5 лет назад
Зубные импланты – почему так дорого? Из чего складывается окончательная стоимость?
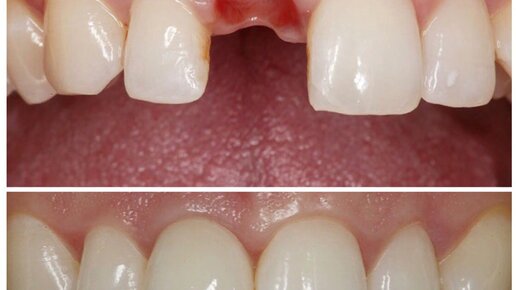
Имплантация зубов на данный момент является одной из самых дорогостоящих процедур в стоматологии, и на это есть свои причины. Из чего же складывается окончательная сумма данной процедуры? Давайте разбираться...
146 читали · 3 года назад
Почему зубной имплант такой дорогой?
Очень часто, когда пациент слышит, что ему необходимо установить имплант, он задаётся вопросом его стоимости. Ответ на него, как правило, порождает новый вопрос: "Почему так дорого?" Что ж, давайте разбираться. Имплантация зубов - это серьёзная хирургическая процедура, требующая высочайшего профессионализма, качественных материалов и самого современного оборудования. Именно от этого зависит срок службы ваших новых зубов. Чтобы понять из чего складывается стоимость на данный вид услуг, необходимо знать суть процесса...
Почему экономия на установке импланта обойдется дороже?
Имплантация зубов — самый эффективный и надежный способ восстановить утраченные зубы. После качественно проведенной имплантации вы навсегда забудете про эту проблему. К сожалению, многие пациенты в погоне за низкой ценой вместо красивой и здоровой улыбки получают осложнения в виде отторжения установленных имплантов и воспаления мягких тканей и костной ткани вокруг импланта (периимплантит). Из этой статьи вы узнаете, почему имплантация, которая на всю жизнь избавит вас от проблемы, не может стоить дешево...
40,1 тыс читали · 5 лет назад
Почему имплантация зубов так дорого стоит и как на ней сэкономить?
Во всем мире имплантация зубов — одна из самых дорогих стоматологических услуг. К примеру, в Москве установка одного импланта вместе с коронкой обходится в среднем в 80 тыс. рублей. Многие пациенты не понимают, как «простое вкручивание винта в челюсть» может стоить таких денег. Объясняем, как рассчитывается стоимость услуги и почему имплант — это не просто «кусок титана». Когда пациенты рассуждают о стоимости стоматологических услуг, им кажется, что в расчет должны браться всего две составляющие: стоимость материалов + работа врача...