Как избежать кариеса и сохранить эмаль? - Правильная чистка зубов: до или после еды? Советы стоматолога!
Кариес зубов: что это такое и как его лечить?
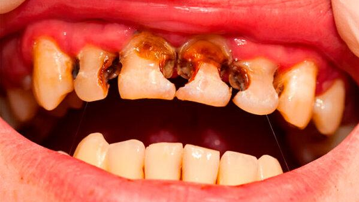
Кариес зубов поражает эмаль и дентин. Выявить его на начальной стадии можно по потемнению. Если экстренно не начать лечение, болезнь будет развиваться, что выразится в размягчении твердой зубной ткани вследствие деминерализации, образуется кариозная полость. По статистике, здоровыми зубами может похвастаться примерно 2-5% населения и всего лишь 20% подростков, достигших 18 лет. В качестве основных факторов, по которым появляется кариес, называют: Иногда есть и несколько причин одновременно. Лечение кариеса зубов Лечение кариеса зубов связано с типом заболевания...
Кариес зубов: как предотвратить потерю эмали
Кариес зубов является одним из наиболее распространенных стоматологических заболеваний. Это состояние начинается с разрушения эмали зуба и, если не предотвращается и не лечится, может привести к потере зуба. Профилактика и своевременное стоматологическое лечение кариеса имеют решающее значение для сохранения здоровья и красоты Ваших зубов. Основной причиной кариеса является активное развитие и вредоносное действие бактерий в полости рта. Независимо от этого, кариес может быть предотвращен и лечен...