Киста молочной железы: симптомы и лечение кисты молочной железы у женщин. Болит ли киста в груди
Кисты молочных желез: рекомендации маммолога
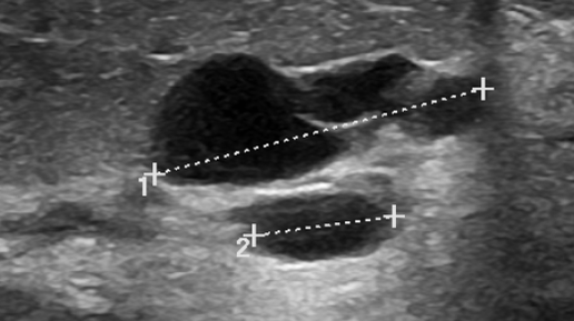
Киста молочной железы – наиболее часто выявляемое изменение её структуры. Образуются кисты из-за скопления увлажняющей проток жидкости в закупоренном выводящем протоке терминальной протоково-дольковой единицы. Скопление жидкости со временем приводит к растяжению протока и увеличению размеров жидкостной полости. При осмотре кисты молочной железы могут проявляться в виде отчетливо пальпируемых, смещаемых образований. Кисты обычно безболезненные, но при их воспалении может появляться не только болезненность в зоне их расположения, но и покраснение и отек кожи, повышение локальной температуры...
Лечение кисты молочной железы. Может ли рассосаться киста в молочной железе
Согласно статистике, сегодня заболевания молочной железы показывают шокирующие цифры, сотни тысяч женщин обращаются в маммологические центры с подозрениями и разными симптомами на кистозно-фиброзную мастопатию, а также на злокачественные опухоли. Более 40% женщин различного возраста страдают от той или иной болезни молочной железы. Грудь для психического и физического здоровья женщины имеет крайне важное значение, так как любые воспалительные процессы и трансформации внешнего вида ухудшают не только ее эмоциональное состояние, но и физическое...