Как удаляют зубной камень?
Удалили нижний «мудрый» зуб, зачем удалять верхний и наоборот?
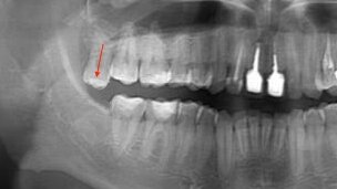
Не удивляйтесь, если доктор после всестороннего обследования предложит удалить Вам не только причинный зуб мудрости, но и противоположный или даже все, в том числе и те, которые не прорезались. Такое преждевременное удаление проводится по следующим причинам. Если один из восьмых зубов, например нижний левый, удален, то при наличии верхнего левого он начнет перемещаться вниз и в результате упрется в нижнюю челюсть или в щеку и будет травмировать десну или мешать пережевыванию пищи. При оценке положения...
5 проверенных причин удалить зубы мудрости
В организме есть органы, которые кажутся не такими уж важными, зато могут воспаляться и болеть, поэтому хорошо бы от них избавиться. Это, например, аденоиды, аппендикс и зубы мудрости. На самом деле в организме нет ничего не нужного: любой орган оказывает влияние на работу организма в целом, выполняют защитную функцию, участвуют в формировании иммунитета. Поэтому удалять "ненужные" зубы без показаний не стоит. Зубы мудрости — это третьи моляры, занимающие крайнее место в ряду. Их часто называют восьмерками...