ЛЕЙКОЦИТЫ В МОЧЕ ВО ВРЕМЯ БЕРЕМЕННОСТИ | Повышенные лейкоциты в моче при беременности
Лейкоциты при беременности
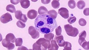
Еще с курса школьной биологии нам известно, что лейкоциты представляют собой важнейший составляющий элемент крови: именно эти белые кровяные тельца отвечают за защитные функции человеческого организма. Различают несколько видов лейкоцитов, имеющих характерное строение и функции, но все эти виды в комплексе активно участвуют в работе иммунной системы. Благодаря количеству лейкоцитов, которое можно узнать из анализов (моча, кровь, мазок), врач имеет возможность судить о состоянии защитных сил нашего организма...
Лейкоциты почему повышены
Повышенный уровень лейкоцитов в крови, или лейкоцитоз, – это состояние, которое указывает на увеличение количества белых кровяных клеток (лейкоцитов) в организме. Лейкоциты играют важную роль в иммунной системе, защищая организм от инфекций, воспалений и других угроз. Повышенный уровень лейкоцитов обычно является признаком того, что организм борется с каким-то заболеванием или состоянием. Вот основные причины повышенного уровня лейкоцитов: I. Инфекции: Бактериальные инфекции: Самая распространенная причина лейкоцитоза...