7791 читали · 1 год назад
Почему синеет десна при прорезывании зубов у ребенка?
Иногда во рту у ребенка на месте будущих зубов появляются синие шишки. Это так называемые гематомы прорезывания, или эрупционные кисты. Попросили нашего стоматолога Элину Семикитич подробнее рассказать о том, что это такое и как лечится. Зачатки зубов формируются внутри кости челюсти. Когда формирование зуба завершается, он начинает продвигаться наверх, преодолевая сопротивление костной ткани и десны. Десна набухает, чешется. А иногда ее сосуды травмируются, кровь истекает в ткани — образуется гематома...
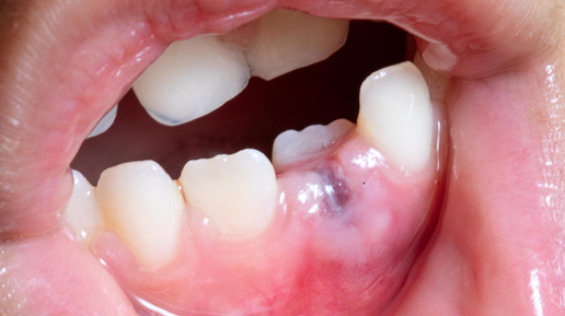
4431 читали · 1 год назад
Почему синеет десна над зубной коронкой?
Такое случается с металлокерамическими коронками. Причина может быть в том, что врач неправильно установил коронку и не завел ее край под десну. Другой вариант — десна «сползла» с зуба со временем и обнажила металлический край коронки. Металлокерамические коронки состоят из металлического каркаса, который сверху покрывается слоем керамики — но не полностью. Край каркаса остается непокрытым. Этот край называют гирляндой. Когда врач устанавливает коронку на зуб, он заводит гирлянду под десну. Если десна у пациента тонкая, металл сквозь нее может просвечивать...