Как диагностировать коронавирус (анализы, тесты, рентген, КТ)
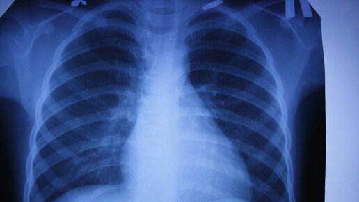
Можно ли по рентгену определить коронавирус?
Коронавирусная инфекция становится причиной поражения легочной ткани, поэтому большинство пациентов проходят рентгенологическое обследование.
Это золотой стандарт диагностики, поскольку он гарантирует:
повышенную...