Шишка на большом пальце уйдет НАВСЕГДА! / ГЛАВНЫЕ рекомендации для устранения «косточки»!
Почему растет косточка на большом пальце?
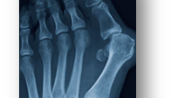
Вы знаете, на самом-то деле “косточка” не растет. Шишка на большом пальце - это не нарост или отложение солей, а деформация сустава, которая и образует “косточку” у основания большого пальца. Давайте разберемся, какие изменения происходят в стопе и образуют “шишку” или “косточку” и почему она в 10 раз чаще бывает у женщин? “Косточка” у большого пальца на медицинском языке называется Hallux Valgus. Это распространенная деформация, которая с возрастом встречается все чаще и чаще: В норме при ходьбе у человека на I головку первой плюсневой кости и первый палец приходится 50% нагрузки...
Что делать, если на большом пальце стопы растет шишка
Появление шишки на большом пальце ноги не только портит внешний вид, но и вызывает физическое дискомфорт. Ортопед Дарья Черемисова объяснила радио Sputnik причины этого явления и как его предотвратить. Эта косточка, известная как вальгусная деформация первого пальца стопы, может привести к артрозу, если не обратить на нее внимание своевременно. Появление шишки связано с деформацией пальца и воспалительным процессом в суставе, который приводит к образованию костного нароста. Необходимо обращаться к врачу при первых признаках изменений, поскольку боль может возникнуть не сразу...