Способы УДАЛЕНИЯ зубного камня ДОМА! / Как НЕ НАВРЕДИТЬ своим зубам?
Зубной камень: симптомы, причины возникновения и методы лечения
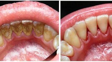
Причины образования зубного камня у детей и взрослых Механизм образования зубного камня и налета Обычно поверхность зуба покрыта пелликулой – это бесструктурная бесклеточная пленка, которая образуется из протеинов слюны. После снятия абразивом или химическими веществами она восстанавливается в течение 2 часов. Сама по себе пелликула не только не вредна, но и необходима (она является барьером, регулирующим обменные процессы между слюной и эмалью, защищая целостность структуры последней), однако именно...