Зуб почернел: что делать? Врач – Минасян Кристина Андреевна
Почему почернели зубы
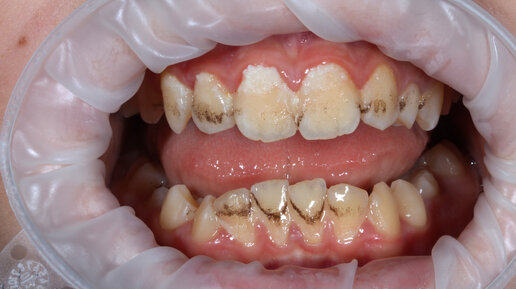
Не стоит думать, что почернение зуба – это всего лишь эстетическая проблема, которая делает улыбку менее привлекательной. На самом деле, потемнение зуба или нескольких может свидетельствовать о наличии не только кариеса, но и более сложных заболеваний зубов. От чего это происходит Естественный оттенок зубов зависит вовсе не от качества и цвета эмали. На самом деле зуб приобретает свой оттенок благодаря цвету дентина, который просвечивается через прозрачность эмали. И чем светлее дентин, тем светлее и улыбка в целом...
Если зуб почернел как исправить
Почернение зуба — это всегда повод для беспокойства и обращения к стоматологу, так как это часто указывает на серьезные проблемы, требующие лечения. Важно понимать, что самостоятельно “исправить” почерневший зуб в домашних условиях невозможно. Необходима профессиональная диагностика и лечение. Возможные причины почернения зуба: Кариес: Самая распространенная причина. Кариес – это разрушение твердых тканей зуба под воздействием кислот, которые выделяют бактерии, живущие в зубном налете. На начальной...