Почему для передних и жевательных зубов нужны разные коронки?
Передние зубы у человека имеют острый край, чтобы легко откусывать пищу. Длинные вытянутые клыки – наследство от далеких предков. Раньше они были нужны, чтобы есть жёсткое мясо, а сейчас в основном служат «ограничителями» – не дают челюсти сдвигаться влево или право больше положенного. В задних жевательных плоская верхняя часть – они работают как жернова мельницы, перетирая еду. Поэтому при протезировании на каждый зуб нужны разные коронки. Передние зубы во время улыбки или при разговоре видны у любого человека...
1632 читали · 3 месяца назад
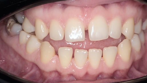
Передние зубы не смыкаются и это не норма. Почему открытый прикус опасен и как его исправляют без операции
Пациентка со скелетным открытым прикусом мезиального типа - не смыкаются передние зубы. И проблема, в данном члучае, вовсе не в зубах, а в самих челюстях - они растут под неправильным углом. Передние зубы висят в воздухе, между ними щель даже при полном смыкании челюстей. Раньше такое лечили только хирургически. Ломали челюсти, переставляли, фиксировали титаном. Сейчас некоторые продвинутые и одарённые ортодонты делают то, что казалось невозможным - закрывают скелетный открытый прикус консервативно...