Как удаляют зубной камень?
5 причин, почему отклеиваются коронки!
В этой статье разберём пять основных причин, по которым коронки могут отклеиваться. Сначала перечислю эти причины, а затем подробно раскрою каждую из них. В конце разберём частый вопрос: может ли процесс гниения зуба под коронкой быть причиной её отклейки? Чем меньше культя, тем хуже на ней держится коронка. Здесь работает обычная физика: чем больше площадь соприкосновения, тем надёжнее фиксация. Важно учитывать и форму культи. Если создать слишком большую конусность, коронка будет держаться хуже...
Коронка сломалась: что делать и когда пора менять полностью
Коронка ставится для защиты и восстановления зуба, но даже самая прочная конструкция со временем может повреждаться. Трещина, скол или поломка — частая причина обращений к стоматологу. Главное — не затягивать: состояние может ухудшиться, и лечение станет сложнее. В этой статье разберём, почему ломаются коронки, что делать в первые минуты и как понять, можно ли её восстановить или требуется полная замена. Причин несколько, и не всегда дело в качестве конструкции: 1. Механические перегрузки.
Орехи, сухари, семечки, очень твёрдая пища...
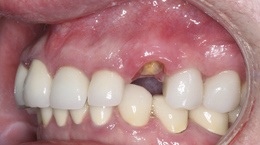
Что делать, когда выпала коронка?
Ситуация, когда выпала, стала подвижной или сломалась коронка, одна из самых распространенных, с которой обращаются пациенты к стоматологу-ортопеду. Причин, по которым «выпала коронка» множество, так как она может быть зафиксирована: ⁃ Непосредственно на зуб ⁃ На зуб восстановленный штифтовой конструкцией ⁃ На имплантат Обозначим основные и наиболее частые причины из них: • Срок службы конструкции (все имеет свой срок эксплуатации, как и сама коронка, так и цемент, на который зафиксирована коронка) • Неудовлетворительная гигиена полости рта и неправильный уход за конструкцией...