2149 читали · 1 год назад
Опухла десна — почему так бывает и что делать?
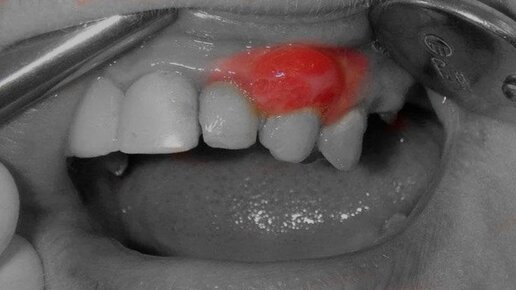
Десна опухла и болит? Ситуация довольно частая — проблемы с деснами на втором месте после кариеса среди болезней ротовой полости. Но не стоит относиться к ней легкомысленно — ситуация может не только доставить дискомфорт, но и привести к необратимым последствиям. Почему же может опухнуть десна, что делать, если это произошло, рассказываем вместе с врачами-стоматологами Кутузовского центра Evolutis Clinic. Почему опухает десна Припухлость десны вызвана воспалительным процессом и нарушением оттока жидкости...
Что делать, если опухла десна?
«У меня опухла десна, почему это произошло и что теперь делать?» - с таким вопросом пациенты часто обращаются к стоматологу. На этом канале врачи-стоматологи клиники "Элайнер.рф" отвечают на вопросы пациентов. Раскрываем все секреты и рассказываем о нюансах стоматологического лечения! Вы также можете задать свой вопрос в комментариях, и наши специалисты постараются дать на него ответ. Отек десны – это довольно серьезный симптом, сигнализирующий о неблагополучии в ротовой полости. Отек является одним...