06:44
1,0×
00:00/06:44
823,2 тыс смотрели · 4 года назад
2078 читали · 3 года назад
Нестероидные противовоспалительные средства могут усугубить воспаление при артрозе — исследование
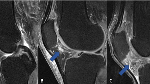
Авторы нового исследования заявили, что прием противовоспалительных обезболивающих средств, таких как ибупрофен и напроксен, при остеоартрите (артрозе) может со временем усилить воспаление в коленном суставе. Результаты исследования представлены на ежегодной конференции Радиологического общества Северной Америки (RSNA). Артроз и противовоспалительные средства Артроз является наиболее распространенной формой артрита, поражающей более 500 миллионов человек по всему миру. Чаще всего заболевание поражает суставы кисти, тазобедренные и коленные суставы...
4223 читали · 1 год назад
Гонартроз
Артроз, он же остеоартроз, он же остеоартрит (в международной классификации болезней osteoarthritis) — это заболевание, связанное с износом суставного хряща и затрагивающее субхондральную кость, то есть кость, которая подлежит хрящу. Именно этот термин я описывал раньше в книге под названием «хондромаляция». Это так называемый ранний артроз. Хрящевая ткань имеет очень сложную структуру, в которой клетки хряща — хондроциты — расположены во внеклеточном матриксе, созданном из переплетений волокон длинных белков — коллагена и эластина, который эти самые хондроциты и производят...