ЛОМАЮТ РУКИ! САМЫЕ БОЛЬШИЕ ЩУКИ и САМАЯ КРУТАЯ РЫБАЛКА В ЖИЗНИ ЕВГЕНИЯ
Почему люди ломают руки в армрестлинге
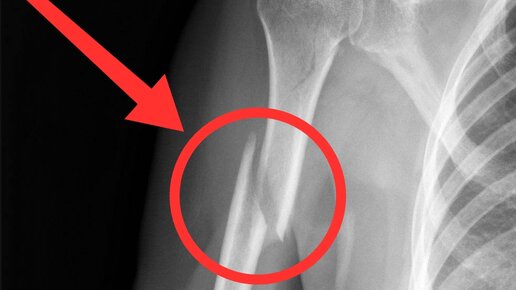
Всем привет, сегодня я с точки зрения профессионала хочу объяснить почему люди ломают руки или выворачивают их из суставов. Вообще армрестлинг один из самых безопасных видов спорта, но как не странно случаются переломы. Часто это скрученный перелом плечевой кости со смещением как показано на фото. При том что это ещё слабо, ведь кость может раздробиться что не даст вам перспективы заниматься этим в будущем. Но если это так опасно почему спортом ещё занимаются? Отвечу вопросом на вопрос. А вы видели...
Почему в драках ломают руки? От техники боя к технике мышления
Перелом боксёра Лёшка пришёл на работу в гипсе. Правая рука по локоть была аккуратно забинтована и болталась на перевязи. - Всё-таки я его уделал! Оказалось, что накануне он выцепил у рынка своего давнего "приятеля" по прозвищу Булыжник, и благополучно сломал о его руку в решающем бруталити. А всё потому, что по своей юношеской наивности и отсутствию необходимых академических знаний взял в руку для утяжеления батарейку. Ну не глупо ли? Закладка утяжеляет удар, кто спорит? Но, во-первых, тяжела ли батарейка? А во-вторых, закладка должна быть правильной формы под ладонь бойца...