Кашель с кровью_ причины и лечение - медицинские советы, лечение
Почему кашель с кровью — не всегда туберкулёз, а хуже
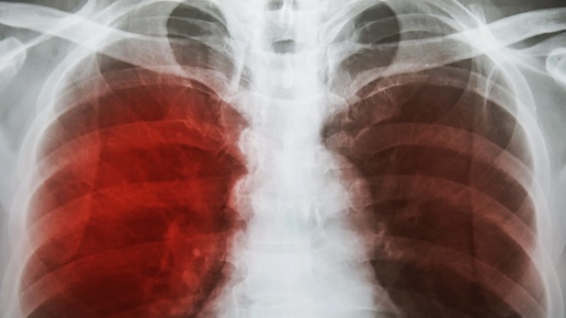
Кашель с кровью, или гемоптизис, — тревожный симптом, который встречается у 5–15% людей с респираторными проблемами и часто ассоциируется с туберкулёзом, заболеванием, поражающим 10 миллионов человек ежегодно, по данным Всемирной организации здравоохранения (ВОЗ). Однако этот симптом может быть признаком более опасных состояний, таких как рак лёгких (2,2 миллиона случаев в год), лёгочная эмболия или бронхоэктатическая болезнь, особенно у людей старше 50 лет, когда риск серьёзных патологий возрастает на 15% каждые 10 лет...
Как называется болезнь, от которой кашляют с кровью?
Кашель — сам по себе неприятный симптом. Что делать, если он осложняется кровью? Гемоптизис (кашель с кровью) может быть признаком различных серьезных заболеваний и состояний. Кашель с кровью может сопровождаться другими симптомами, такими как одышка, боль в груди, лихорадка или потеря веса. Это тревожный симптом, который требует незамедлительного обращения к врачу. 1. Инфекции дыхательных путей: — Пневмония. Воспаление легких может вызывать кашель с кровью, особенно если есть повреждение кровеносных сосудов...