Почему при чистке зубов идет кровь? / Лечение десен. Чем опасна кровоточивость?!
Почему возникают кровотечения из десен: причины и методы борьбы
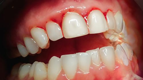
Вы заметили кровь на щетке или салфетке после чистки зубов? Возможно, ваши десны стали болезненными и краснеют? Подобные симптомы указывают на возможное заболевание десен, которое нельзя игнорировать. Разберёмся, почему возникает кровоточивость десен и как справиться с этой проблемой. Самая частая причина кровотечений из десен — недостаточный уход за зубами и ртом. Остатки пищи скапливаются на зубах, образуя бактериальный налет, который постепенно затвердевает, превращаясь в зубной камень. Бактерии...
Кровоточивость десен - причины и лечение
Кровоточивость обычно представляет собой симптом более серьезных болезней, поэтому нельзя игнорировать его. Когда из десны начинает идти кровь, то она оказывается открытой для бактерий. Здесь важно обратиться к стоматологу и сразу же начинать лечение. В противном случае есть риск появления пародонтита либо гингвита. А эти заболевания лечить уже будет сложнее. К специалисту нужно бежать срочно, если: Данная симптоматика говорит о том, что у человека есть какие-либо заболевания, связанные с деснами...