449 читали · 4 года назад
Расшифровка флюорограммы после прохождения флюорографии легких
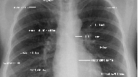
Описание флюорограммы Результаты флюорографии готовят обычно несколько дней, после этого полученную флюорограмму рассматривает рентгенолог. В том случае, если была проведена флюорография здоровых легких, на дальнейшее обследование пациента не отправляют...
22,1 тыс читали · 7 лет назад
Что такое полисинусит – его формы, симптоматика и правила организации действенного лечения
Полисинусит – это воспалительный процесс носовых пазух. Он может протекать остро или быть хроническим. Чаще всего развивается у людей после перелома перегородки носа, при анатомической особенности – узких носовых проходах, при увеличении носовых раковин, при аденоидах, полипах. Основной предрасполагающий фактор заражения – переохлаждение. Анатомия болезни Чтобы правильно описать причины и проявления заболевания, потребуется сначала пояснить полисинусит – что это такое. Итак, полость носа – часть дыхательной системы со извитыми ходами...