05:51
1,0×
00:00/05:51
28,6 тыс смотрели · 4 года назад
3 часа назад
🧠 Когда медицина превращается в детектив
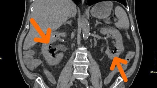
🧠 Когда медицина превращается в детектив. В отделение больницы №52 в Москве доставили пациента, балансирующего на грани жизни и смерти: температура под 40, давление падает, почки отказывают, сепсис набирает обороты. На КТ — картина, от которой даже опытные врачи делают паузу. Газ внутри почек. Эмфизематозный пиелонефрит IV класса — диагноз, который в 9 случаях из 10 заканчивается летально. 🩸 Возбудители — E. coli и Klebsiella. В норме безобидные, но в условиях диабета и нарушенного кровоснабжения почечной ткани они начинают разлагать глюкозу с образованием газа...
6 часов назад
Если вы интересуетесь медициной, учитесь на врача или уже работаете в этой сфере, эта подборка для вас! В папке – интересные каналы о
Если вы интересуетесь медициной, учитесь на врача или уже работаете в этой сфере, эта подборка для вас! В папке – интересные каналы о медицине, от новостей до практических советов! Изучите, чтобы быть в курсе и находить полезное для работы и учебы! Забирай папку к себе! https://t...