Что будет если не удалять зубной камень? Смотрите
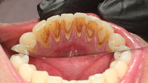
"Черные зубы? Не паникуйте!": Откуда берется черный налет на зубах и как с ним бороться? Разбираем причины и методы лечения!
Заметили на зубах темный, почти черный налет? Не спешите винить во всем только кофе и сигареты! Хотя они, безусловно, вносят свой вклад, причины появления черного налета на зубах могут быть гораздо более разнообразными и даже неожиданными. В этой статье мы разберемся, откуда берется этот налет, насколько он опасен, и как с ним бороться, чтобы вернуть зубам здоровый вид и предотвратить более серьезные проблемы. Что такое черный налет и чем он отличается от обычного? (Определяем проблему): Черный налет...