У КОЗЫ ОСТАНОВКА ЖЕЛУДКА КАК МЫ ЛЕЧИМ🤔
Крайне медленное течение рака желудка без лечения. Случай из практики
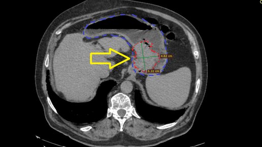
Онкология – это такая область медицины, в которой всегда есть место для невероятных случаев и ситуаций, вызывающих искреннее удивление даже у врачей, независимо от стажа работы в профессии. Сегодня я хотел бы поделиться очередным подобным случаем, который расширил границы моего представления о возможном. Многие слышали, наверное, что онкологические заболевания по-разному протекают у молодых и пожилых пациентов. У молодых пациентов обычно опухолевый процесс протекает более агрессивно, а у пожилых,...