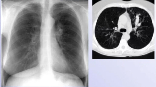
Периферический рак легкого. Бессимптомная опухоль размером почти 4 см. Для ранней диагностики рака легкого крайне важно ежегодное обследование. В России более 60 тыс случаев рака легкого в год.
Дифференциальная рентгенодиагностика заболеваний органов дыхания и средостения(часть 18)
3.5. ПЕРИФЕРИЧЕСКИЕ (ВНЕБРОНХИАЛЬНЫЕ) ДОБРОКАЧЕСТВЕННЫЕ ОПУХОЛИ И ЗАПОЛНЕННЫЕ КИСТЫ ЛЕГКОГО М. Наста и соавт. (1963) различают следующие доброкачественные опухоли: 1) соединительнотканные (фиброма, хондрома, липома); 2) мышечные; 3) сосудистые (кавернозная ангиома, капиллярная ангиома, ангиоэндотелиома; 4) неврогенные; 5) эпителиальные (папиллома, аденома); 6) врожденные (гамартома, тератома).
Среди доброкачественных образований легких, которые необходимо дифференцировать, целесообразно различать следующие группы...
Рак предстательной железы
Рак предстательной железы (РПЖ) – злокачественная опухоль, происходящая из железистого эпителия альвеолярно-трубчатых структур преимущественно периферической зоны простаты и возникающая чаще у мужчин пожилого возраста. Код по МКБ: С61. Злокачественное образование предстательной железы. Возникновение РПЖ связывают с дисбалансом половых гормонов, повышением уровня андрогенов, что способствует накоплению генетических мутаций в ДНК клеток простаты с нарушением роста клеток, репликации и гибели клеток...