Хоопонопоно - медитация для засыпания🧘 Бинауральный гипнотический транс быстрого решения проблем
Лучшие методы обследования сосудов головного мозга
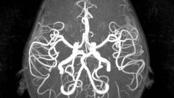
Лучшие методы обследования сосудов головного мозга Для получения точных результатов о качестве кровоснабжения структур головы в медицине используются разные методы обследования сосудов головного мозга. Классификация способов диагностики сосудистой системы мозга основывается: Как называется обследование сосудов головного мозга Любой метод обследования сосудов головного мозга принято называть ангиографией, где “ангио” в переводе с греческого означает “сосуд”, “графия” - “писать”. Она показывает функциональное состояние сосудов, окольного кровотока и протяжённость патологического процесса...
Как пройти обследование УЗИ сосудов шеи и головы (допплерография)
Как ваш навигатор, я подробно объясню, как пройти УЗИ сосудов шеи и головы (этот метод чаще всего называется УЗДГ БЦА – ультразвуковая допплерография брахиоцефальных артерий). Это безопасное и безболезненное обследование, которое показывает состояние артерий и вен, кровоснабжающих ваш мозг. Это ключевой шаг, и у вас есть два варианта. Вариант А: Через поликлинику по ОМС (бесплатно) Вариант Б: Через частный медицинский центр (платно) Подготовка очень простая, но она нужна для точных результатов...
МРТ головы - как проводится исследование "во сне"
Многим пациентам назначают МРТ головы. У такого исследования есть немало особенностей и одна из них заключается в том, что его можно проводить не только в состоянии бодрствования, но и во сне. Подобную услугу предоставляет частный медицинский центр. Обследование проводится на современном оборудовании под контролем квалифицированных специалистов. Что выявляет МРТ головы МРТ головы выявляет различные патологии, причем в начальных стадиях. Это эффективный способ диагностики: Магниторезонансная томография выявляет патологии даже в том случае, если их очаги находятся под костной тканью...