06:44
1,0×
00:00/06:44
987,2 тыс смотрели · 4 года назад
1518 читали · 7 лет назад
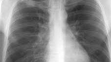
Видно ли на флюорографии рак, туберкулез и последствия курения
Видно ли на флюорографии, что человек курит – совсем не тот вопрос, который должен интересовать обследуемого человека. Но заядлым курильщикам хотелось бы точно знать, как проявятся последствия курения и не спутает ли их врач с симптомами туберкулезных поражений. Флюорография – это современное диагностическое исследование, основанное на просвечивании грудной клетки рентгеновскими лучами. Изображение теней в уменьшенном виде переносится на пленку. Результаты оценивает врач-фтизиатр и в первую очередь определяет наличие или отсутствие туберкулеза...
04:18
1,0×
00:00/04:18
44,3 тыс смотрели · 5 лет назад