Реальные последствия МРТ с контрастом, о которых не говорят врачи!
МРТ мозга с контрастом: каждому — по потребности
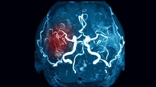
Не лечить голову в целом вреднее, чем препараты для контрастного усиления Магнитно-резонансная томография мозга с контрастом проводится в нашей стране и во всем мире с использованием препаратов гадолиния или оксидов железа. Этот вид исследования считается наиболее эффективным при диагностике различных новообразований. Пять лет назад в мировом медицинском сообществе развернулась дискуссия о безопасности препаратов гадолиния. Они вводятся внутривенно, а после исследования большая часть вещества выводится из организма через почки...
В чем разница МРТ головного мозга с контрастом и без
Томография с применением магнитно-резонансного оборудования активно используется для исследования головного мозга и его нарушений. Способ подходит всем категориям больных, в том числе, и имеющие им онкологические диагнозы. Процедура облегчает поиск тканей, уже пораженных болезнью. Поэтому обследование назначают пациентам, страдающим от нарушения кровотока или воспалительных процессов. Снимки предоставляют специалистам четкую информацию, без которой проведение диагностики невозможно. При этом методика подходит практически всем пациентам, не даёт радиационной нагрузки на организм...