Что покажет МРТ гипофиза (видео)
Что покажет МРТ гипофиза с контрастом и без
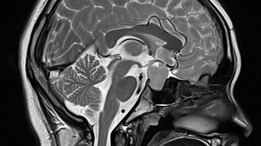
Магнитно-резонансная томография гипофиза позволяет выявить повреждения, недоразвитость и другие патологии самой питуитарной железы и зоны турецкого седла. Чаще всего выбор врачей при необходимости провести...
Что показывает МРТ гипофиза
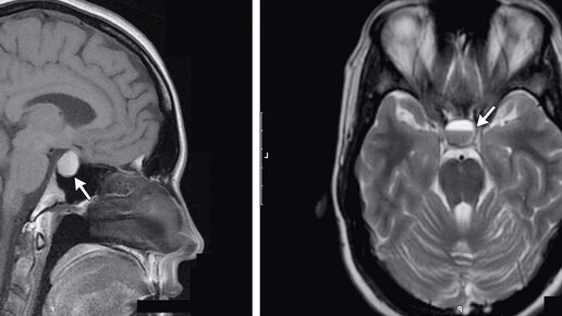
В диагностических центрах МРТ гипофиза используется: ЧТО ТАКОЕ МРТ ГИПОФИЗА МРТ гипофиза – это узконаправленный, прицельный метод диагностики гипофиза и тканей головного мозга, находящихся в зоне турецкого седла. Сложность обнаружения изменений в питуитарной железе способом объясняется его местом нахождения в основании головного мозга и маленькими размерами в диапазоне от 15 до 17 мм. Гипофиз играет важную роль в функционировании эндокринной системы человека. Орган отвечает за выработку гормонов, влияет на рост и обменные процессы в организме человека...
Все о том как сделать МРТ гипофиза
МРТ гипофиза – это наиболее информативный способ для выявления и оценки поражений питуитарной железы, а также окружающих ее тканей в зоне турецкого седла. Данное обследование не следует путать с МРТ головного мозга, где гипофиз тоже визуализируется, но менее четко и прицельно...