06:44
1,0×
00:00/06:44
747 тыс смотрели · 4 года назад
3405 читали · 7 лет назад
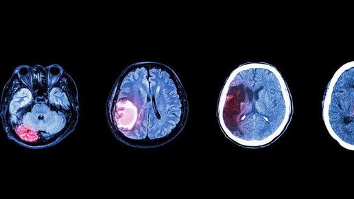
Менингиома головного мозга
Менингиома – серьезное заболевание, проявляющееся опухолевым образованием, возникающим из тканей головного мозга (арахноидального эндотелия). Болезнь, как правило, носит доброкачественный характер, медленно развивается и на протяжении длительного времени никак себя не проявляет. При этом новообразование может локализоваться в нескольких областях головного мозга, а порой возможна его трансформация в злокачественную опухоль. Что провоцирует развитие менингиомы, как она проявляется и какие методы лечения...
10,7 тыс читали · 2 дня назад
Деревенская...
Ася Пологова в деревне выросла – старшая дочь в многодетной семье. Крупной уродилась девица – и плечи широкие, и в рост быстро пошла. В детстве у ребятишек случались попытки придумать прозвище Асе – то Верзилой называли, то Великаном, то еще каким-то обидным для девочки словечком. Однако ни одно прозвище не приживалось – Ася всегда умела за себя постоять. Девочка повзрослела, а вместе с ней и товарищи по играм. Со временем поубавилось желающих поддразнить, обидеть или задеть Асю. Девушку ценили за то, что тона надежный друг, готовый всегда прийти на помощь...