Лоукик в голову
В голове – вода или что такое гидроцефалия: почему она возникает и как лечится
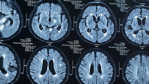
Головной и спинной мозг окружены специфической по составу и свойствам жидкостью, которую называют спинномозговой (цереброспинальной) жидкостью или ликвором. Свежая спинномозговая жидкость непрерывно производится мозгом каждый день. Он циркулирует вокруг головного и спинного мозга, перенося питательные вещества, смывая загрязнения, отводя продукты метаболизма и смягчая сотрясения, удары в области этих деликатных структур. Спинномозговая жидкость течет через систему желудочков внутри головного мозга,...