Общий анализ крови - РАСШИФРОВКА / 12 важных показателей, которые нужно ЗНАТЬ ВСЕМ!
Что значат повышены лимфоциты в крови у взрослого (причины и последствия)
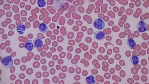
Одной из групп лейкоцитов являются лимфоциты. Чтобы разобраться с особенностями работы иммунной системы человека, нужно понять, что такое лимфоциты в анализе крови, что обозначает отклонение их концентрации от установленных норм. Это белые кровяные клетки, отвечающие за распознавание чужеродных агентов, попавших в организм. При вирусных, бактериальных, аллергических, грибковых заболеваниях в общем анализе крови можно увидеть, что лимфоциты повышены. Норма и отклонения В соответствии с установленными...
Что означает - лимфоциты повышены?
Получив на руки бланк с результатами анализа крови, мы первым делом сканируем его глазами в поисках этих пугающих жирных шрифтов или стрелочек вверх. И вот, зацепившись взглядом за цифры, понимаем: что-то идет не так. Лимфоцитоз — звучит как какой-то сложный диагноз из медицинской энциклопедии, но на деле это лишь сигнал организма. Так что означает - лимфоциты повышены в реальности? Давайте разберемся без лишней паники и сухих медицинских терминов. Представьте себе элитное подразделение спецназа, которое круглосуточно патрулирует ваши вены и артерии. Лимфоциты — это главные защитники иммунной системы...