16 тыс читали · 5 лет назад
11 важных вопросов про отбеливание зубов у стоматолога
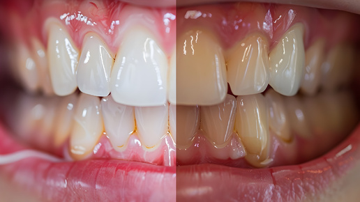
Процедуры отбеливания зубов условно делятся на профессиональные и непрофессиональные. Преимущество первых в том, что они проводятся при непосредственном участии стоматолога и пациент получает именно тот результат, на который изначально рассчитывал. Попросили нашего гигиениста Евгению Владимировну Большакову ответить на самые популярные вопросы о профессиональном отбеливании зубов. На зубы наносится специальный гель с пероксидом водорода или пероксидом карбамида. Молекулы перекиси распадаются и выделяют свободные радикалы, которые проникают в структуру зуба...
1040 читали · 2 года назад
Стоит ли делать профессиональное отбеливание зубов? Мнение стоматолога
Здравствуйте! По образованию я стоматолог-ортопед. Да, я окончила высшее учебное заведение. Сегодня на повестке дня: ❌ ПРОФ ОТБЕЛИВАНИЕ ЗУБОВ - СТОИТ ЛИ ❌ Знаете, будучи стоматологом, я однозначно скажу, что НЕТ, не стоит делать проф отбеливание зубов. Начну с противопоказаний: ▫️ Беременность и лактация ▫️ Возраст до 18 лет ▫️ Наличие эрозий на зубах ▫️ Онко заболевания ▫️ Повышенная чувствительность зубов (сюда относятся и эрозии) ▫️ Аллергии на компоненты для отбеливания зубов ▫️ Кариес,...