Диагностика пневмоний на рентгене и КТ.
КТ при пневмонии и covid-19
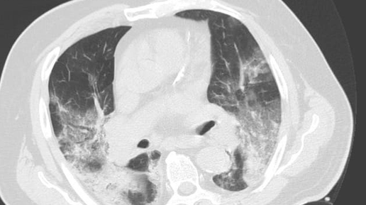
Пневмония является серьезным инфекционно-вирусным заболеванием, которое поражает легкие. Вирусная пневмония является одним из типичных осложнений для коронавирусной инфекции 2019-nCoV (COVID-19). Поскольку некоторые виды вирусной пневмонии проходят бессимптомно, для выявления воспаления легких широко применяют визуализационные методы диагностики. Как правило, пневмонию замечают во время рентгена (нужно сделать боковую и прямую проекцию легких). Однако в некоторых случаях для подтверждения диагноза требуется прохождение компьютерной томографии легких...
КТ повреждает легкие при пневмонии от covid-19
Компьютерная томография (КТ) грудной клетки при диагностике поражения легких от коронавирусной инфекции увеличивает риски развития осложнений пневмонии и рака. КТ дает возможность неинвазивным методом обследовать болезни и получать изображения внутренних органов с помощью рентгеновского излучения...