Что нужно знать о пубертатном периоде. Психолог Наталья Фомичёва
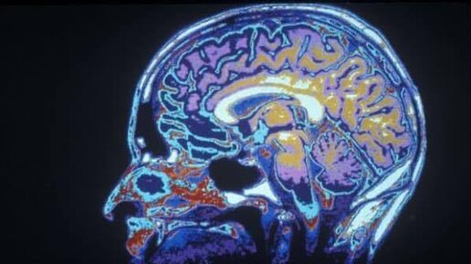
Когда заканчивается детство, непосредственно перед пубертатным периодом, наблюдается второй период интенсивного роста: в префронтальной коре
Когда заканчивается детство, непосредственно перед пубертатным периодом, наблюдается второй период интенсивного роста: в префронтальной коре возникают новые связи (синапсы), формируя новые пути За этим ростом следует десятилетие активной «обрезки»: в течение всего подросткового периода слабые связи удаляются, а сильные укрепляются В результате этого прореживания объем префронтальной коры уменьшается приблизительно на 1 % в год вплоть до окончания пубертатного периода Поскольку эти масштабные...
Пубертатный период у девушек: когда начинается и как проявляется
Еще вчера послушная дочь уже сегодня ставит под сомнение каждое слово и противоречит даже в мелочах? Просто у ребенка начался пубертатный период. Что происходит с девочкой в это время и как правильно выстроить с ней диалог, рассказал профессор Мерих Бербероглу и исследователь Нис Брикс. Пубертатный период и его особенности Что такое пубертатный период? Термин происходит от латинского слова ‘pubertas’, означающего 'возмужалость', 'половая зрелость'. Это одна из стадий полового созревания, связанная с полным развитием половых органов и достижением девочкой репродуктивной способности...