Гипотиреоз и Аутоиммунный тиреоидит. Симптомы... /// Консультирует доктор Ушаков
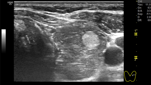
Узлы Щитовидной железы, при которых пункционная биопсия не нужна!
Если раньше рекомендовали пункцию любого узла, размеры которого были бюольше 10 мм, то сейчас многое изменилось. К выбору показания для пункции стали подходить на основании достоверных признаков рака или доброкачественности. Эти признаки выявляют при УЗИ щитовидной железы. Существуют три варианта узлов, при которых пункция не показана! К сожалению, о них не всегда знают специалисты УЗИ. В результате, пациенты при абсолютно доброкачественных узлах выполняют несколько раз повторные УЗИ и пункционную биопсию, подвергаются психической травме от переживаний...
Не кариес, а тихий убийца: какая болезнь лишает зубов тысячи россиян
Вы чистите зубы, а в раковине появляются следы крови? Не ждите боли. Именно с этого «безобидного» симптома начинается путь к тотальной потере зубов у тысячи людей. Роковое заблуждение
Главная ошибка — не страх перед стоматологом, а иллюзия, что проблему можно решить самостоятельно.
Люди годами маскируют симптомы:
- Покупают «чудо-пасты» от кровоточивости.
- Используют гели и ополаскиватели.
- Полощут рот травами.
Но это всё равно что сбивать температуру при гриппе, не борясь с инфекцией. Болезнь тем временем делает своё дело...
Фильм "Зимние советы для Щитовидной железы". Доктор А.В. Ушаков рекомендует
Сегодня, 23 декабря, в 19.00 по московскому времени на YouTube-канале Клиники щитовидной железы доктора А.В. Ушакова состоится премьера фильма "Зимние советы для щитовидной железы". Доктора Андрей Валерьевич Ушаков, тиреоидолог с высоким уровнем знаний и большим опытом практики, расскажет о том, как следует поддерживать здоровье вашей щитовидной железы зимой. Климат нашей страны не самый мягкий, довольно часто мы на себе испытываем то холод, то сильный ветер, то перепады давления, то циклоны. Природные...