Классификация сталей по структуре. Часть 1. Что это и для чего оно нужно? | ЖЕЛЕЗНЫЕ ЗНАНИЯ
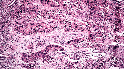
Гистологическая классификация злокачественных опухолей: что это такое?
Существуют разные виды классификации рака. Наверняка вы слышали о стадиях онкологических заболеваний, также есть деление по степени дифференцировки опухолевых клеток (в зависимости от того, насколько сильно они отличаются от нормальных)...
Кардиомиопатия - что это такое, причины, симптомы, классификация
Кардиомиопатия – это большая группа заболеваний сердца, сопровождающихся нарушением функций из-за изменения его размеров или увеличением желудочков без утолщения стенки миокарда. По МКБ-11 патологии присвоен код BC43. Кардиомиопатии вызывают инвалидность, могут окончиться летальным исходом. Лечение призвано исключить развитие несовместимых с жизнью осложнений. Что такое кардиомиопатия Кардиомиопатия – это собирательное название заболеваний миокарда невыясненной этиологии. Считается, что причиной является дистрофические процессы в кардиомиоцитах...