2652 читали · 2 года назад
Киста в голове. Стоит ли переживать?
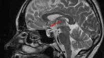
Из разговора с пациенткой перед обследованием : - Мария Петровна, вы не первый раз делаете МРТ головного мозга? - Нет, уже четвертый за последние 3 года! - А зачем, с какой целью? - Ну как зачем!? У меня обнаружили кисту, и теперь я её наблюдаю! Смотрим протокол предыдущего исследования. Действительно, ранее в другом центре у нее была найдена т.н. пинеальная киста (она же "киста шишковидной железы"). Однако, по современным представлениям она не требует многократного повторения МРТ с оценкой динамики, но пациентке об этом не сказали...
Когда врач ставит диагноз “киста”❓
Диагноз "киста" нередко пугает пациентов, которые ассоциируют его с чем-то страшным, вроде новообразования. Особенно жутко становится, когда киста расположена рядом с зубом. Давайте разберемся, действительно ли всё настолько ужасно и есть ли повод для беспокойства. Что такое киста в любом органе у человека❓ Это патологическая полость, которая имеет оболочку и содержимое. Если говорить про кисты, связанные с зубами – так называемые перирадикулярные кисты – то это кисты, которые расположены вокруг корня зуба...