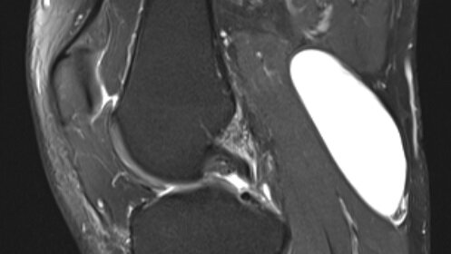
Киста Бейкера. Один секрет и 3 правила лечения.
Киста Бейкера, также известная как подколенная киста или синовиальная киста. Довольно частая находка в области коленного сустава. Представляет собой заполненную жидкостью полость, которая образуется в задней части колена – подколенной ямке. Киста Бейкера названа в честь британского хирурга Уильяма Бейкера, впервые описавшего ее в 19 веке. Секрет. Самое большое заблуждение пациентов, многих врачей, да и самого доктора Бейкера (но ему простительно, он жил в 19 веке), в том, что это НЕ киста, а одна из синовиальных сумок коленного сустава, которая в норме находиться в спавшемся состоянии...
13,4 тыс читали · 6 месяцев назад
Киста Бейкера: что это и как лечить?
Кистой Бейкера (иначе — подколенной кистой) называют появляющееся в подколенной ямке образование, заполненное жидкостью. Она часто мешает двигать ногой и вызывает неприятные ощущения. Киста Бейкера встречается и у взрослых, и у маленьких пациентов. Узнайте, как вовремя распознать и вылечить эту болезнь. Время прочтения: 4 минуты Коленный сустав — это сложное образование, включающее четыре кости, множество связок и сухожилий. Он покрыт суставной капсулой снаружи, а внутри содержит жидкость, облегчающую движения костей...