06:44
1,0×
00:00/06:44
721,1 тыс смотрели · 4 года назад
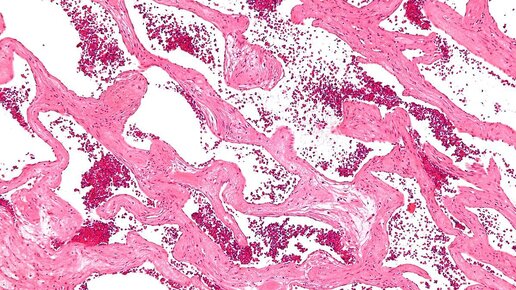
"Кавернозная гемангиома"
Слово «каверна» происходит от латинского слова «caverna» – пещера, полость. В медицине кавернами определяли патологические полости, возникающие в организме вследствие частичного некроза тканей с последующим ее распадом и отторжение омертвевшей массы. Возникает вопрос, причем тут гемангиомы? Термин «кавернозная гемангиома» появился в начале 19 века и подразумевал под собой паталогически расширенные сосуды в виде полостей различного размера и форм. Ввиду отсутствия, как-либо других уточняющих методов...
05:51
1,0×
00:00/05:51
35,6 тыс смотрели · 4 года назад
17,2 тыс читали · 4 года назад
Канберра: самая необычная столица в мире
Столица Австралии Канберра — это самая необычная столица в мире. Столицы обычно значительные, старые города (ну, если кроме Вашингтона, Бразилиа и тому подобных исключений, подтверждающих правило), помпезный...