Лечение хронического панкреатита медикаментами, препаратами - медицинские советы, лечение
Что такое панариций? Лечение, профилактика.
Панариций – это инфекционное воспалительное заболевание кожи и тканей пальцев.
Инфекция обычно начинается в кончике пальца и затем распространяется на соседние ткани. Она может быть вызвана различными микроорганизмами, включая бактерии, грибки или вирусы. Обычно, панариций развивается в результате маленькой травмы, такой как укол, порез, ссадина или укус на пальце. Эти микротравмы могут создать путь для патогенных микроорганизмов, которые могут проникнуть в кожу и вызвать очаг воспаления.
Одним из важных факторов риска развития данного заболевания является травма...
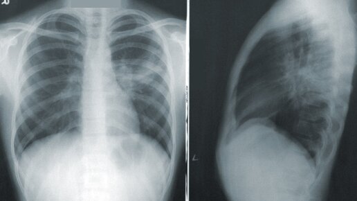
Какие антибиотики назначают при пневмонии
Пневмония - это довольно серьезное заболевание. А это значит, что лечить его самостоятельно ни в коем случае нельзя. Прежде всего нужно обратиться к квалифицированным специалистам, в больницу. Далее нужно будет сдать кровь на анализы и пройти рентген легких...