Как восстанавливается печень и можно ли ускорить этот процесс? ВсеОПечени.Ру
Можно ли вылечить неалкогольный жировой гепатоз печени полностью?
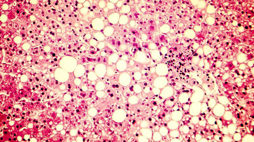
Неалкогольный жировой гепатоз(неалкогольная жировая болезнь печени, НЖБП) имеет несколько стадий - неалкогольный стеатоз, неалкогольный стеатогепатит, цирроз и рак печени. Суть данного патологического состояния заключается в избыточном накоплении жиров (преимущественно триглицеридов) в ткани печени. Успех лечения неалкогольного жирового гепатоза зависит от стадии заболевания, общего состояния организма и наличия сопутствующих заболеваний. Как жир попадает в печень? Причины развития неалкогольного...
Что делать, если в печени накопилось много лишнего жира?
Содержание Лишний вес, ожирение и связанные с ними болезни — бич современности. Заболеваемость жировым гепатозом за последние 15 лет выросла в 3 раза. По данным учёных, с «жирной печенью» сейчас живут около 30% людей на земле. А это значит, что их ждёт масса проблем со здоровьем. На начальном этапе всё ограничивается подавленностью, раздражительностью и нарушением сна. Но чем дальше болезнь, тем больше осложнений. Лишний жир в печени мешает работе мозга (по последним данным, на 40% повышает риск...