Что нужно знать КАЖДОМУ про поражение легких
Как самостоятельно за 1 минуту узнать, есть ли у тебя воспаление легких
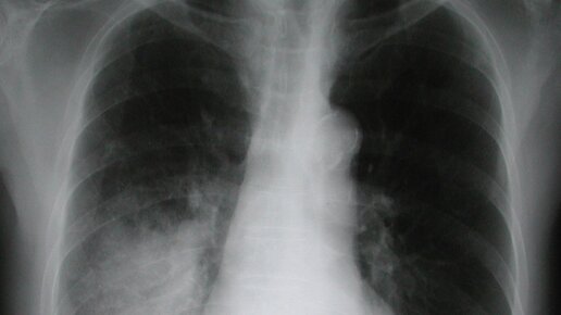
Воспаление легких или пневмония – это серьезное заболевание, которое без правильного лечения может привести к тяжелым последствиям. Однако его не всегда легко распознать: симптомы могут напоминать обычную простуду или бронхит. О том, как понять, что у тебя воспаление легких, а также как отличить пневмонию от других болезней, выяснила Общественная служба новостей. Воспаление легких – коварная болезнь, которую нельзя игнорировать. Если у вас долго держится температура, мучает кашель с мокротой и боль в груди – не занимайтесь самолечением, обратитесь к врачу...
Воспаление легких (пневмония) лечение народными средствами.
Воспаление легких (пневмония) — инфекционное заболевание легких, возникающее и как самостоятельная болезнь, и как осложнение других заболеваний. Причины заболевания. Пневмония вызывается различными типами микробов, такими как стрептококк, стафилококк и пневмококк, а также некоторыми другими вирусами. Причинами пневмонии могут быть грибковая инфекция, глисты, попадание инородных предметов вдыхательные пути, раздражающая пыль и вредные газы. Непосредственная причина появления пневмонии — это отравление организма токсинами и шлаками, особенно теми, которые находятся в легких и дыхательных путях...