Похоже на перелом пальца 😱 Закрываем компот и варенье на зиму/ Подала идею и родители сделали 👍
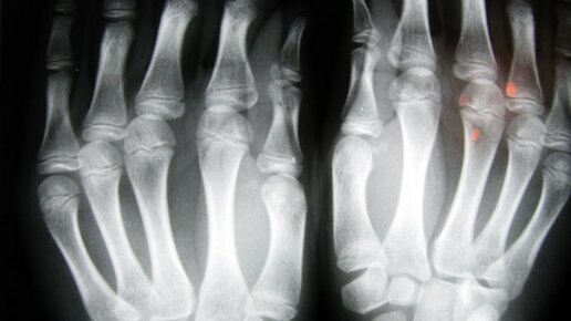
Как отличить ушиб пальца от перелома?
Одними из наиболее частых травм считаются переломы и ушибы пальцев. Открытый перелом или перелом со смещением, конечно же, ни с чем невозможно перепутать. И в этом случае необходимо придать костям правильное положение, зафиксировать, обработать открытую рану и срочно обратиться за медпомощью. Но вот отличить сильный ушиб от перелома довольно сложно, поскольку болезненные ощущения на самом деле одинаковые. Причем некоторые переломы иногда практически даже не болят. Но есть определенные признаки, которые...