ВСЯ ПРАВДА О ПАРОДОНТОЗЕ / Почему НА САМОМ ДЕЛЕ образуется пародонтоз .
Пародонтоз. Симптомы и лечение у взрослых.
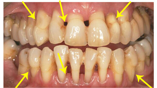
Как определить пародонтоз? Какие симптомы и как вылечить пародонтоз? В этой статье подробно расскажу о клинических проявлениях и способах лечения. Пародонтоз – это патология тканей пародонта, характеризующаяся дистрофическими нарушениями. Наблюдается не локализованное, а генерализованное (то есть распространённое) снижение высоты альвеолярного отростка (альвеолярная часть) челюстей, возникает рецессия десны при отсутствии в ней воспаления. В среднем, частота распространения пародонтоза 3-12% случаев...
Как лечить пародонтоз народными средствами
Пародонтоз – воспалительное заболевание десен, приводящее к образованию зубно-десенных «карманов». Если запустить болезнь, то зубы расшатываются и могут выпасть. Чтобы не допустить потери зубов, необходимо знать, как лечить болезнь в домашних условиях...