Описторхоз: признаки, симптомы, диагностика и лечение. ВсеОПечени.Ру
Описторхоз
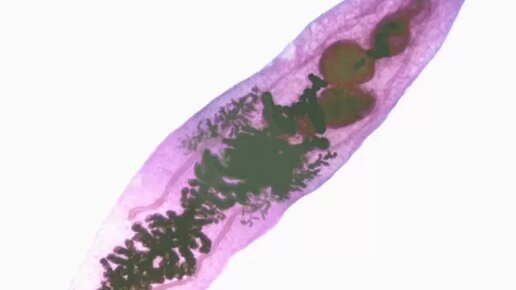
Описторхоз — паразитарное заболевание, поражающее желчевыводящие пути. Патологию характеризует изматывающее организм хроническое течение с развитием осложнений преимущественно со стороны органов гепатобилиарной зоны (печень, поджелудочная железа, желчный пузырь). Источник заражения для человека — пораженная личинками возбудителя описторхоза речная рыба семейства карповых. Заболевание также может поражать домашних животных — плотоядных (кошки, собаки) и всеядных (свиньи). Диагноз описторхоз подтверждают лабораторными данными иммуноферментного анализа (острая фаза)...
Описторхоз, самая опасная и живучая гадость которая из рыбы может попасть в человека. Рассказываю подробно
Приветствую уважаемые подписчики и гости канала студии! Сегодня расскажу про описторхоз, эта напасть может достаться от рыбы к человеку, на мой взгляд самая опасная, но не по лечению, а по тому что очень живучая и слабое соление и морозильная камера домашнего холодильника вас не убережет от него. Итак, давайте рассмотрим эту напасть и подумаем вместе как можно от неё защититься.  Описторхоз вызывают плоские черви, которые называются печеночные сосальщики, это кошачья двуустка или сибирская. Про патогенез...