06:44
1,0×
00:00/06:44
822,3 тыс смотрели · 4 года назад
2080 читали · 3 дня назад
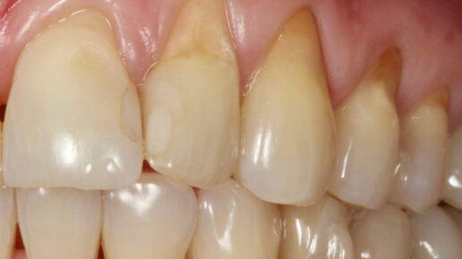
Просто “длинные” зубы? Или опасная патология десны?
Вместо тысячи слов покажу это фото. Это яркая иллюстрация рецессии десны (у меня таких картинок много, по ходу статьи будут демонстрировать). Сегодня говорим не только о том, как рецессия возникает, но и почему её нельзя игнорировать. К сожалению пациент, который пришел сдаваться стоматологу по причине рецессии, - это эксклюзив. Пока ничего не болит, пока есть чем жевать, люди редко тревожатся из-за десён до такой степени, чтобы добровольно записаться на приём. А стоило бы. Но перейдем от докторского брюзжания к фактам и аргументам...
2 дня назад
Тайна Туринской плащаницы: след Христа, загадка науки или величайшая подделка в истории?
Одна ткань. Одно изображение. Пятнадцать веков споров. Ни одна реликвия в истории человечества не вызывала столько одновременного благоговения и скепсиса, столько научных исследований и теологических споров, сколько Туринская плащаница — льняное полотно длиной 4,4 метра, на котором запечатлён образ мужчины с признаками мученической смерти. Кто он? Христос ли это — и тогда перед нами не икона, а прямой след Божественного вмешательства в историю? Или же это гениальная средневековая подделка, созданная...