Как выглядит на рентгене человек, проглотивший меч?
Как выглядят здоровые легкие на рентгене
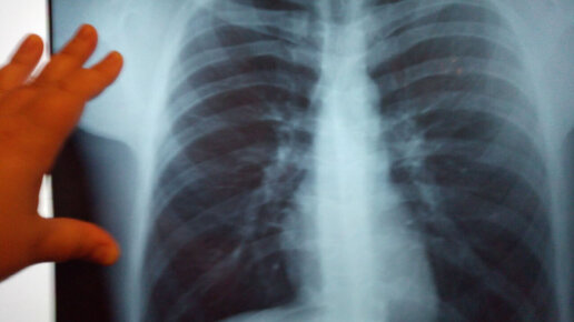
Рентген является точным и доступным методом диагностики легких, не требующим вторжения в организм. Рентгенографию легких проводят как при заболеваниях (травме легких, опухоли, бронхите, воспалении), так и с целью профилактики при ежегодных медицинских обследованиях. Заболевания легких сначала могут протекать бессимптомно, со временем возможно проявление некоторых симптомов. Если в течении некоторого времени сохраняется кашель, хрипы, появляется боль в грудной клетке, слабость, потливость, кровохарканье, то нужно срочно обратиться к врачу...
Бронхит - это серьёзно?
Как понять, что начался бронхит и избежать осложнений? В большинстве случаев бронхит проходит сам, однако оставлять его на самотёк опасно. Дело в том, что бронхит — это пограничное состояние между обычной простудой и потенциально смертельной болезнью — пневмонией. Буквально за один день воспаление с бронхов может распространиться на лёгочную ткань. Поэтому очень важно вовремя поставить диагноз и принять меры. Как понять, что начался бронхит? Без врача — никак! Бронхит, связанный с инфекцией, проявляется кашлем: сначала сухим, потом с мокротой...