06:44
1,0×
00:00/06:44
723,2 тыс смотрели · 4 года назад
2770 читали · 4 месяца назад
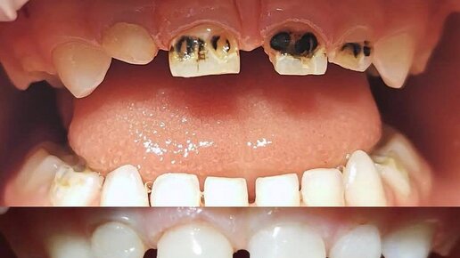
В три года ребёнок почти без передних зубов. Помогло ли серебрение остановить страшный кариес.Покажу нашу лучшую детскую пасту.
Всем привет👋 Эта тема очень сложная для меня. У моего ребёнка в три года раскрошилось почти три зуба. И это не утрировано. Вставляю фотографию. Чёрные зубы -посеребрённые. Начну с начала. У моего сына рано вылезли зубы. Я не помню уже точность и последовательность (8 лет прошло). Знаю, что постоянно сравнивала с другими детьми и не только с ними, даже гуглила. Но, как быстро они выросли, так и махом начали портиться. Ничего не спасало. Мы чистили, даже есть фото, где ребёнок держит в пол года свою первую щетку силиконовую Вот ещё все хорошо это лето и нам год...
1062 читали · 5 лет назад
Топ 6: Как выглядели зубы звезд до того, как над ними поработали стоматологи
Далеко не у всех людей с рождения идеально белые и ровные зубы, у многих они имеют желтый оттенок и немного неровное расположение. Многие звезды обращаются к стоматологу, чтобы им исправили форму некоторых зубов, а также цвет...