3963 читали · 2 года назад
Как устанавливают импланты? Все этапы установки имплантов. До и После
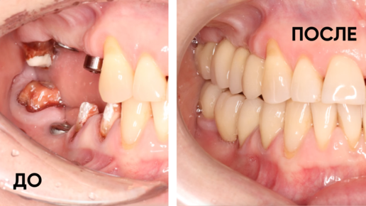
Классическая имплантация включает в себя два основных этапа: сначала вживляется искусственный корень, а затем, через несколько месяцев, проводится протезирование. Длительность процесса компенсируется красотой улыбки и полным восстановлением жевательных функций. ПОДГОТОВИТЕЛЬНЫЙ ЭТАП Теоретически, установка имплантата – это хирургическая операция по внедрению инородного тела в челюсть, а потому требует обязательной тщательной подготовки. Нередко, чтобы определить, возможно ли провести вживление, уходит до нескольких недель...
Как хирург ставит имплант? Про правильное позиционирование имплантатов.
Доброго времени суток, друзья. В данной статье поделюсь с вами своими мыслями и наблюдениями по правильному позиционированию имплантатов, почему это важно и покажу некоторые фотографии с операций для наглядности и понимания. Расскажу про интересные инструменты и приспособления, которые помогают нам (хирургам-стоматологам) в работе. Как хирург может поставить имплант? В арсенале у врача есть мозги, глаза, руки и стандартные инструменты для имплантации (физиодиспенсер, наконечник, хирургический набор и т...