413 читали · 4 года назад
Как определить туберкулез на ранней стадии
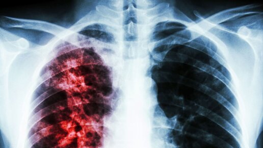
В 2021 году Россия достигла исторического минимума по смертности от туберкулеза. По данным "Национального медицинского исследовательского центра фтизиопульмонологии и инфекционных заболеваний" за 20 лет заболеваемость снизилась более чем в три раза, а смертность — более чем в четыре раза. Тем не менее инфекционное заболевание до сих пор представляет опасность, особенно в свете коронавирусной пандемии. "Рамблер" рассказывает, как определить болезнь на ранней стадии. О ранних признаках туберкулеза пишет Елена Валерьевна Зырянова, врач-фтизиатр высшей категории...
7 лет назад
Как узнать признаки туберкулеза на ранних стадиях у детей?
Признаки туберкулеза на ранних стадиях болезни у детей встречается не реже, чем у взрослых. Но если у взрослых бактерии зачастую остаются неактивными, подавленными иммунитетом и не доставляющими проблем, у детей из-за слабости иммунитета и ряда особенностей организма скрытая форма встречается куда реже. Особенности заражения Детский туберкулез особенно опасен из-за характерных особенностей детского организма: У ребенка младенческого возраста диагноз «туберкулез» часто звучит, как приговор. Шансы на то, что он будет вынесен, повышает принадлежность малыша к одной из групп риска...