Сломанный копчик, воспоминания. Беспроводной звонок на калитку. Обзор с WB.
Мой Сломанный копчик 30ти летней давности
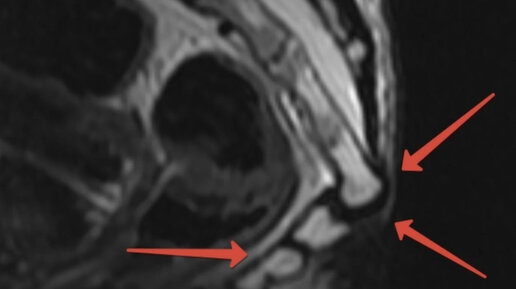
Привет из 90х 🤚🙈 Катались на горках с картонками или пленкой ? 🛷🛷Возможно у тебя так же 😳😬 Это мой сломанный копчик 30ти летней давности 👆 Как сейчас помню эту жуткую пронизывающую боль после неудачного приземления на пятую точку во время покатушек с горки на картонке 🥹 Если честно я еще будучи ребенком понимала что у меня перелом , но факт того что я шла домой своими двумя ногами меня путал . « Ведь если бы я сломала позвоночник я б не смогла ходить ? 🙄» Вполне логично для моего детского возраста на тот момент так рассуждать ...
Почему возникает сильная боль в копчике – кокцигодиния: как помочь в устранении боли
Копчик (по латыни coccyx) – небольшая костная часть таза, которой завершается позвоночный столб. Боль в копчике - это любой дискомфорт в области самого нижнего уровня позвоночника, включая боль между ягодицами и в окружающих тканях. Копчик – это костный шип в нижней части крестца, который представляет собой группу сросшихся костей в форме щита, соединяющего позвоночник с тазом. Боль в копчике называется кокцидинией или кокцигодинией. Боль в копчике обычно не является признаком серьезного заболевания, расстройства или состояния...