1467 читали · 5 лет назад
Как убрать черный налет на зубах? Полезные советы от врача
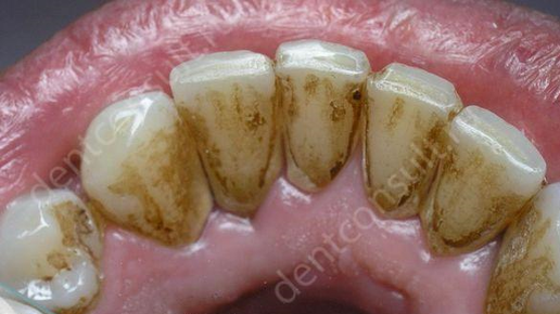
Черный налет на зубах – очень неприятная проблема, которая портит красоту улыбки, заставляет стесняться и вызывает много комплексов. Вся беда заключается в том, что от появления такого вида налета не застрахован никто. Поэтому сегодня мы расскажем не только обо всех возможных методах, которые помогут быстро его удалить, но и о причинах его появления. Уверены, вы удивитесь, насколько некоторые из них неожиданные. ТОП-6 причин почернения зубов Для многих это становится открытием, но даже если вы ежедневно чистите зубы, то на них может появиться черный налет или пятна...
4 года назад
Как убрать черный налет с зубов?
Черный налет появляется в результате скоплений зубных отложений. Можно ли убрать темные пятна с эмали самостоятельно или лучше сразу отправиться к специалисту? Как такой налет убирают в стоматологии? Ответы эти вопросы ищите в статье...